歯並びやかみ合わせのことで悩んでいらっしゃる方へ。
このページでは、当院で実際に矯正治療を行った症例の一部をご紹介しています。治療前と治療後の変化をご覧いただくことで、ご自身やお子様の状態と照らし合わせ、治療についてお考えいただく際の参考にしていただければ幸いです。
なお、矯正治療の結果には個人差があり、ここに掲載されている症例と同じ結果が得られることを保証するものではありません。治療についてご不明な点がございましたら、お気軽にご相談ください。
子どもの矯正(一次矯正)の治療例
一次矯正は、成長発育期(おおむね6歳〜12歳頃)のお子様を対象とした矯正治療です。成長を利用して顎の幅や長さを整え、将来の永久歯列が正しく並ぶための土台づくりを行います。成人になった時に上下の土台が安定した状態になるよう、子どものうちに治療を進めます。
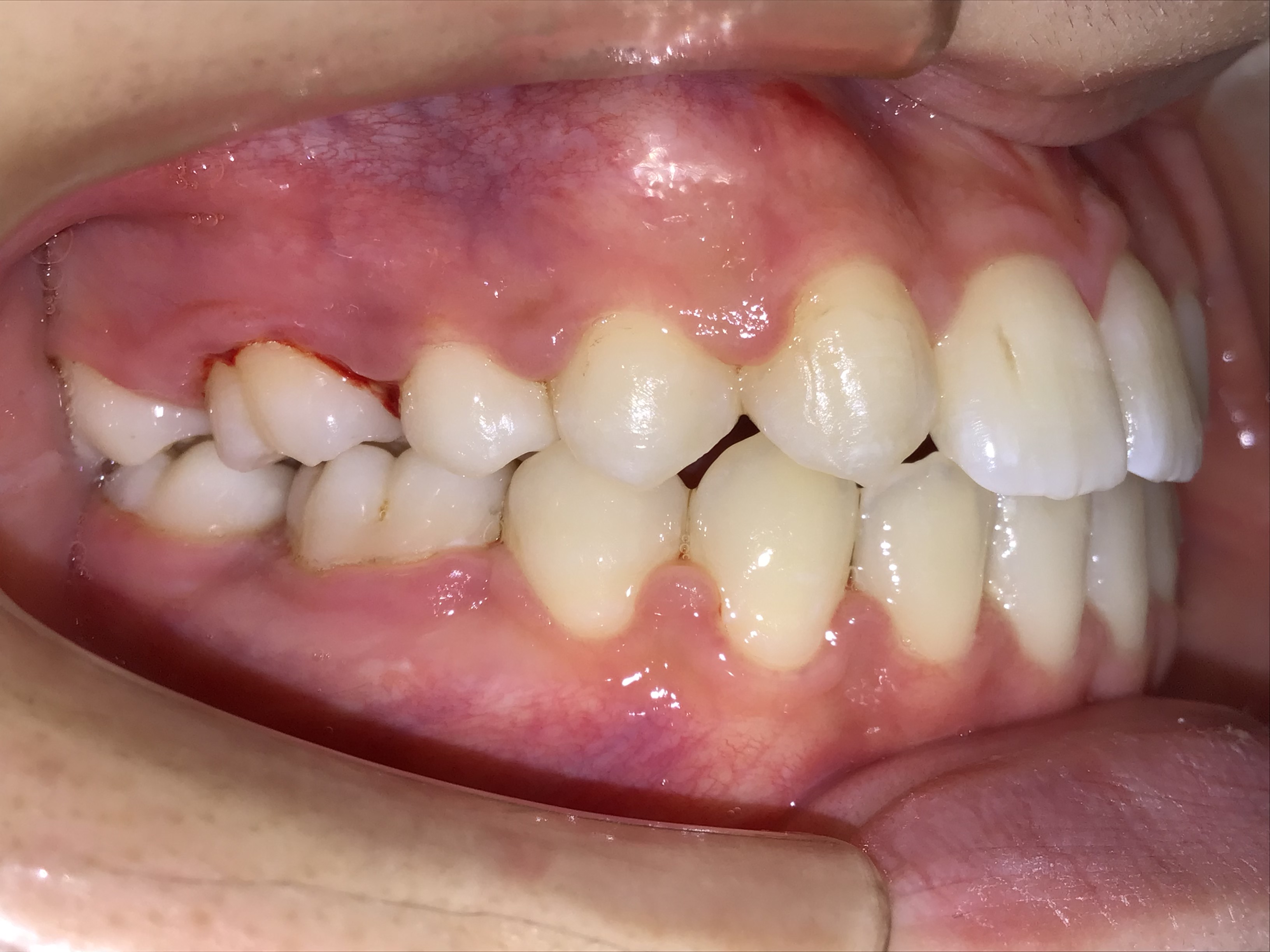
叢生(そうせい)・乱杭(らんぐい)・でこぼこ
歯が凸凹に重なって生えている状態
乱ぐい歯とも言い、歯が凸凹に重なって生えている、歯の生え方が不揃いであるような状態を指します。顎が小さくなっている現代人に多い状態で、八重歯もこれに当たります。
👶 初診時年齢 8歳5ヶ月 | 📅 治療期間 7ヶ月 | 💰 治療費(税別) 40万円 |
治療前 治療後 | 主訴 | 歯並びがでこぼこしている |
|---|
| 診断 | 歯列叢生症 |
|---|
| 初診時年齢 | 8歳5ヶ月 |
|---|
| 治療種別 | 一次矯正 |
|---|
| 外科処置 | なし |
|---|
| 主な治療装置 | マウスピース型矯正装置 |
|---|
| 治療期間 | 7ヶ月 |
|---|
| 治療費 | 40万円(税別)永久歯列までの長期観察含む |
|---|
| 治療毎処置料 | なし |
|---|
| リスク・副作用 | 矯正装置による不快感や痛みが生じることがあります(数日〜1、2週間で慣れることが多いです)。装置の使用状況が治療結果や治療期間に影響します。歯を動かすことにより歯根が吸収して短くなることや、歯ぐきがやせて下がることがあります。治療中は歯が磨きにくくなるため、むし歯のリスクが高まります。装置が外れた後、保定装置を指示通り使用しないと後戻りが生じる可能性があります。あごの成長発育によりかみ合わせや歯並びが変化する可能性があります。 |
|---|
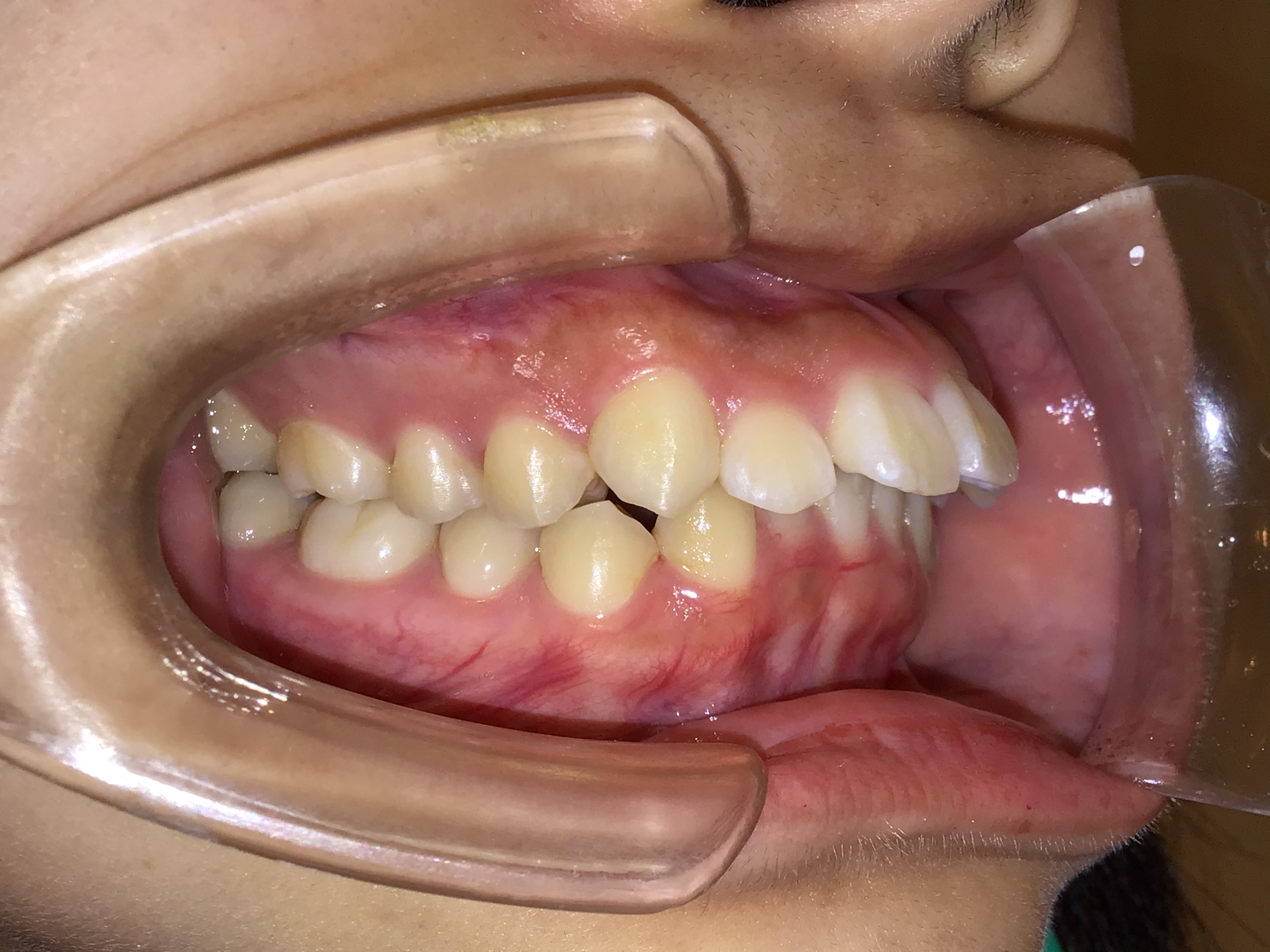
上顎前突(じょうがくぜんとつ)・出っ歯
上の前歯や上の顎が前に出ている状態
いわゆる出っ歯と呼ばれる状態です。上の前歯や上の顎そのものが前に出て、下の顎が後ろに下がっている状態を言います。上顎前突には、顎の骨に問題がある場合と、歯だけが前に出ている場合が存在します。
👶 初診時年齢 10歳1ヶ月 | 📅 治療期間 11ヶ月 | 💰 治療費(税別) 40万円 |
治療前 治療後 | 主訴 | 上の歯が出ている |
|---|
| 診断 | 上顎前突症 |
|---|
| 初診時年齢 | 10歳1ヶ月 |
|---|
| 治療種別 | 一次矯正 |
|---|
| 外科処置 | なし |
|---|
| 主な治療装置 | マウスピース型矯正装置 |
|---|
| 治療期間 | 11ヶ月 |
|---|
| 治療費 | 40万円(税別)永久歯列までの長期観察含む |
|---|
| 治療毎処置料 | なし |
|---|
| リスク・副作用 | 矯正装置による不快感や痛みが生じることがあります(数日〜1、2週間で慣れることが多いです)。装置の使用状況が治療結果や治療期間に影響します。歯を動かすことにより歯根が吸収して短くなることや、歯ぐきがやせて下がることがあります。治療中は歯が磨きにくくなるため、むし歯のリスクが高まります。装置が外れた後、保定装置を指示通り使用しないと後戻りが生じる可能性があります。あごの成長発育によりかみ合わせや歯並びが変化する可能性があります。 |
|---|
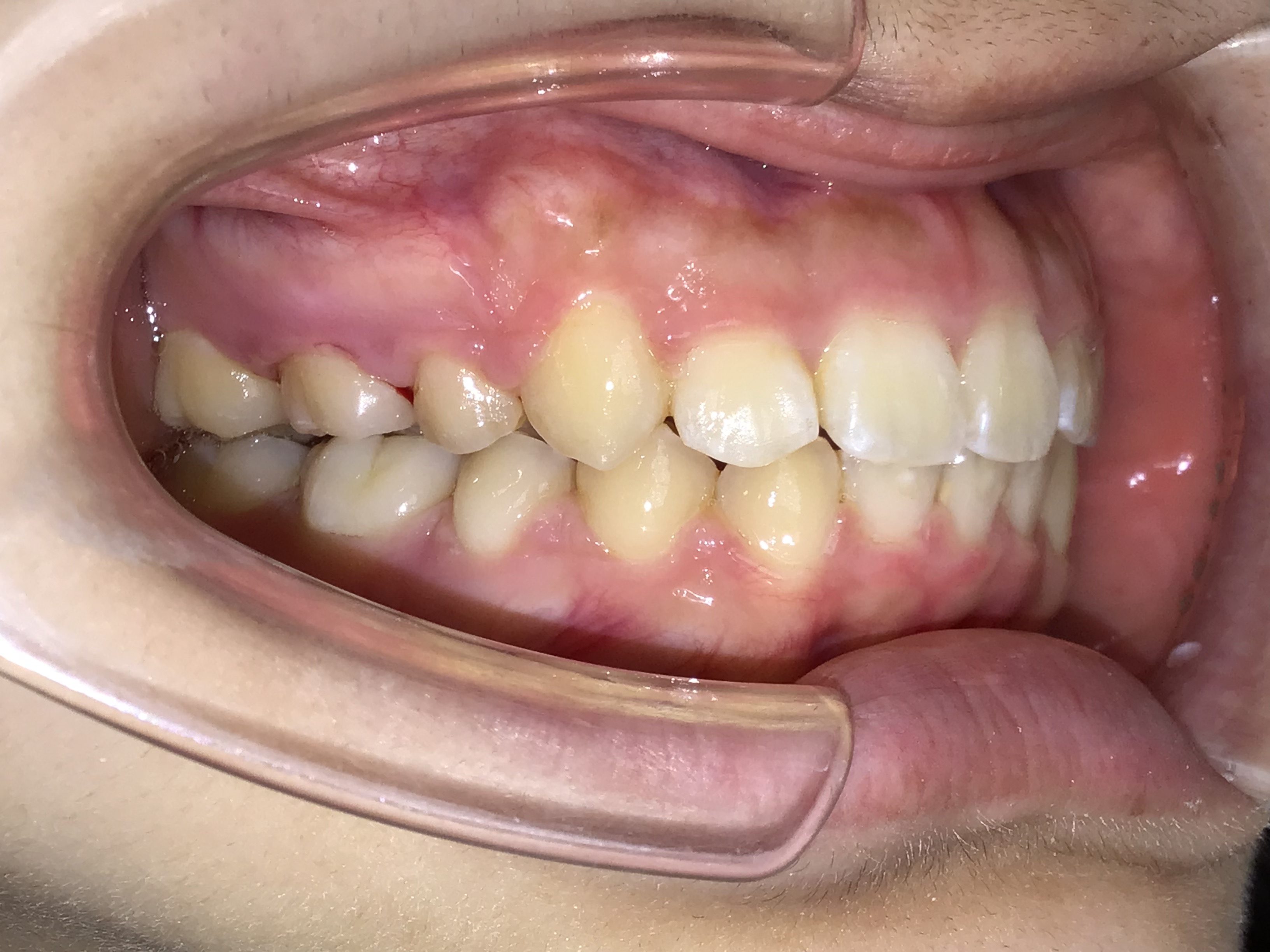
反対咬合(はんたいこうごう)・下顎前突(かがくぜんとつ)
下の前歯が上の前歯よりも前に出ている状態(受け口)
受け口とも言い、噛み合わせた時に下の前歯が上の前歯よりも前に出てきてしまっている状態を指します。反対咬合は、不正咬合の中でも特に早い時期から噛み合わせを整え、治療を行うことが大切です。
👶 初診時年齢 8歳9ヶ月 | 📅 治療期間 4ヶ月 | 💰 治療費(税別) 40万円 |
治療前 治療後 | 主訴 | 下の歯が出ている |
|---|
| 診断 | 歯槽性下顎前突症 |
|---|
| 初診時年齢 | 8歳9ヶ月 |
|---|
| 治療種別 | 一次矯正 |
|---|
| 外科処置 | なし |
|---|
| 主な治療装置 | マウスピース型矯正装置 |
|---|
| 治療期間 | 4ヶ月 |
|---|
| 治療費 | 40万円(税別)永久歯列までの長期観察含む |
|---|
| 治療毎処置料 | なし |
|---|
| リスク・副作用 | 矯正装置による不快感や痛みが生じることがあります(数日〜1、2週間で慣れることが多いです)。装置の使用状況が治療結果や治療期間に影響します。歯を動かすことにより歯根が吸収して短くなることや、歯ぐきがやせて下がることがあります。治療中は歯が磨きにくくなるため、むし歯のリスクが高まります。反対咬合は不正咬合の中でも特に早期の治療が重要ですが、あごの成長発育によりかみ合わせが変化する可能性があります。装置が外れた後、保定装置を指示通り使用しないと後戻りが生じる可能性があります。 |
|---|
お子様の歯並びが気になる保護者の方へ
上記以外にも歯並びの不正には様々な形態があります。ここには示されていないけれども、お子様の状態が気になる場合は一度、ご相談ください。子どもの矯正治療では、成長発育も合わせて長期的に経過観察をしていくことが重要です。当院では、早期治療ありきではなく、将来を見据えたうえで治療の必要性を判断しています。
大人の矯正(二次矯正・本格矯正)の治療例
全ての歯が大人の歯に交換したら大人の矯正(二次矯正)の対象になります。「成人してから」という意味ではなく、早い方だと10歳くらいから対象となります。上の歯も下の歯も、前歯も奥歯も、すべてを整える治療です。
叢生(そうせい)
歯が凸凹に重なって生えている状態
乱ぐい歯とも言い、歯が凸凹に重なって生えている、歯の生え方が不揃いであるような状態を指します。顎が小さくなっている現代人に多い状態で、八重歯もこれに当たります。
🧑 初診時年齢 15歳2ヶ月 | 📅 治療期間 3年7ヶ月 | 💰 治療費(税別) 90万円 |
治療前 治療後 | 主訴 | 歯並びがでこぼこしている |
|---|
| 診断 | 歯列叢生症 |
|---|
| 初診時年齢 | 15歳2ヶ月 |
|---|
| 治療種別 | 本格矯正 |
|---|
| 外科処置 | 上顎左右第一小臼歯、下顎左第一小臼歯、右第二小臼歯の抜歯 |
|---|
| 主な治療装置 | マルチブラケット装置、矯正用アンカースクリューなど |
|---|
| 治療期間 | 3年7ヶ月 |
|---|
| 治療費 | 90万円(税別) |
|---|
| 治療毎処置料 | なし |
|---|
| リスク・副作用 | 矯正装置による不快感や痛みが生じることがあります(数日〜1、2週間で慣れることが多いです)。歯の動き方には個人差があり、予想された治療期間が延長する可能性があります。歯を動かすことにより歯根が吸収して短くなることや、歯ぐきがやせて下がることがあります。治療中は装置が付いているため歯が磨きにくくなり、むし歯や歯周病のリスクが高まります。治療途中に金属等のアレルギー症状が出ることがあります。装置を外す時にエナメル質に微小な亀裂が入る可能性があります。装置が外れた後、保定装置を指示通り使用しないと後戻りが生じる可能性があります。治療後に親知らずが生えて凸凹が生じる可能性があります。 |
|---|
上顎前突(じょうがくぜんとつ)
上の前歯や上の顎が前に出ている状態(出っ歯)
いわゆる出っ歯と呼ばれる状態です。上の前歯や上の顎そのものが前に出て、下の顎が後ろに下がっている状態を言います。上顎前突には、顎の骨に問題がある場合と、歯だけが前に出ている場合があります。
🧑 初診時年齢 7歳10ヶ月 | 📅 治療期間 1次11ヶ月+2次2年1ヶ月 | 💰 治療費(税別) 1次40万+2次50万円 |
治療前 治療後 | 主訴 | 上の歯が出ている |
|---|
| 診断 | 叢生を伴う上顎前突症 |
|---|
| 初診時年齢 | 7歳10ヶ月 |
|---|
| 治療種別 | 1次矯正、2次矯正 |
|---|
| 外科処置 | 上顎左右第一小臼歯の抜歯 |
|---|
| 主な治療装置 | 歯列弓拡大装置、マルチブラケット装置など |
|---|
| 治療期間 | 1次矯正11ヶ月、2次矯正2年1ヶ月 |
|---|
| 治療費 | 1次矯正40万円(税別)、2次矯正50万円(税別) |
|---|
| 治療毎処置料 | なし |
|---|
| リスク・副作用 | 矯正装置による不快感や痛みが生じることがあります(数日〜1、2週間で慣れることが多いです)。歯の動き方には個人差があり、予想された治療期間が延長する可能性があります。歯を動かすことにより歯根が吸収して短くなることや、歯ぐきがやせて下がることがあります。治療中は装置が付いているため歯が磨きにくくなり、むし歯や歯周病のリスクが高まります。治療途中に金属等のアレルギー症状が出ることがあります。顎関節症状(音が鳴る、あごが痛い、口が開けにくい)が出ることがあります。装置を外す時にエナメル質に微小な亀裂が入る可能性があります。装置が外れた後、保定装置を指示通り使用しないと後戻りが生じる可能性があります。 |
|---|
下顎前突(かがくぜんとつ)
下の前歯が上の前歯よりも前に出ている状態(受け口)
受け口とも言い、噛み合わせた時に下の前歯が上の前歯よりも前に出てきてしまっている状態を指します。反対咬合は、不正咬合の中でも特に早い時期から噛み合わせを整え、治療を行うことが大切です。
🧑 初診時年齢 11歳5ヶ月 | 📅 治療期間 3年3ヶ月 | 💰 治療費(税別) 90万円 |
治療前 治療後 | 主訴 | 下の歯が出ている |
|---|
| 診断 | 歯槽性下顎前突症 |
|---|
| 初診時年齢 | 11歳5ヶ月 |
|---|
| 治療種別 | 本格矯正 |
|---|
| 外科処置 | 下顎右第二乳臼歯、左第二小臼歯の抜歯 |
|---|
| 主な治療装置 | マルチブラケット装置、矯正用アンカースクリューなど |
|---|
| 治療期間 | 3年3ヶ月 |
|---|
| 治療費 | 90万円(税別) |
|---|
| 治療毎処置料 | なし |
|---|
| リスク・副作用 | 矯正装置による不快感や痛みが生じることがあります(数日〜1、2週間で慣れることが多いです)。歯の動き方には個人差があり、予想された治療期間が延長する可能性があります。歯を動かすことにより歯根が吸収して短くなることや、歯ぐきがやせて下がることがあります。治療中は装置が付いているため歯が磨きにくくなり、むし歯や歯周病のリスクが高まります。治療途中に金属等のアレルギー症状が出ることがあります。顎関節症状(音が鳴る、あごが痛い、口が開けにくい)が出ることがあります。装置を外す時にエナメル質に微小な亀裂が入る可能性があります。装置が外れた後、保定装置を指示通り使用しないと後戻りが生じる可能性があります。治療後に親知らずが生えて凸凹が生じる可能性があります。 |
|---|
歯並びが気になる方へ
上記以外にも歯並びの不正には様々な形態があります。ここに示されてはいなくても、ご自身やお子様の状態が気になる場合は一度、ご相談ください。ご自身やお子様が大人の矯正の範囲か、わからない場合もお気軽にお問い合わせください。
矯正治療に伴うリスクと副作用について
矯正治療は、歯並びやかみ合わせの改善を目的としますが、以下のようなリスク・副作用を伴う場合があります。治療の開始にあたっては、担当医より詳しくご説明いたします。
・歯の移動に伴い、一時的な痛みや違和感が生じることがあります。
・歯根が短くなること(歯根吸収)があります。
・歯肉が退縮することがあります。
・治療結果には個人差があり、掲載症例と同じ結果を保証するものではありません。
・矯正治療は保険外診療(自費診療)となります。
詳しくは「知っておきたいリスクと副作用」のページをご覧ください。
歯並び・かみ合わせのご相談を承っております
どんなに些細なことでもかまいません。
歯並び・かみ合わせに関する心配事やお悩みがありましたら、
お気軽にご相談ください。
TEL: 042-468-0648
お電話の際は、診察券をお手元にご用意くださいませ
オンライン予約はこちら